Aktuelles
-
Marling: Dringende Arbeiten - Bahn Meran-Töll drei Tage außer Betrieb
LPA - Aufgrund von dringenden Wartungsarbeiten am Gleisabschnitt beim Bahnübergang in Marling wird der Zugverkehr der Vinschgerbahn im Abschnitt Meran – Töll für drei Tage unterbrochen, und zwar von Dienstag, 25. Juni, bis einschließlich Donnerstag, 27. Juni. Ein Busersatzdienst für diese Teilstrecke wird eingesetzt.
-
Wohnbau: LR Tommasini setzt auf Bausparen und Sanieren
Das Bausparen, die Wiedergewinnung von Bausubstanz in den Dörfern und Städten sowie das Vorstrecken der steuerlichen Absetzbeträge bei der energetischen Sanierung sind die Strategien der Wohnbaupolitik von Landesrat Christian Tommasini und sollen noch vor Legislaturende gesetzlich verankert werden.
-
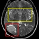
Innovative Therapien bei Schlaganfall: Interregionale Tagung in Bozen
LPA - Experten aus Tirol, Trient und Südtirol befassen sich am 28. Juni in Bozen bei der Tagung „Iktus“ mit neuesten Erkenntnissen zur Vorbeugung, Diagnose und Therapie bei Schlaganfall. Die Tagung wird vom Landesamt für Krankenhäuser in der Landesabteilung Gesundheitswesen organisiert und vom EVTZ „Europaregion Tirol-Südtirol-Trentino“ unterstützt.
-
Kulturkooperationen mit Österreich: Keine Einbahnstraße mehr
Eine gemeinsame Lehrerausbildung, die Förderung von Theatervorstellungen des Südtiroler Kulturinstituts oder eigene Studienrichtungen an österreichischen Universitäten: Die Liste der Kooperationen im Bildungs- und Kulturbereich zwischen Südtirol und Österreich ist lang. Heute (21. Juni) haben Österreichs Bildungs- und Kulturministerin Claudia Schmied und Landesrätin Sabina Kasslatter Mur im Bozner Museion Bilanz gezogen.
-
LH Durnwalder trifft Vertreter der Sprachorganisation "Dante Alghieri"
LPA - Über eine mögliche Zusammenarbeit im Bereich der Zweisprachigkeitsprüfungen und ein Buchprojekt hat Landeshauptmann Luis Durnwalder diese Woche in Bozen mit den Vertretern der weltweit tätigen Gesellschaft zur Förderung der italienischen Kultur und Sprache „Dante Alighieri“ mit Generalsekretär Alessandro Masi an der Spitze gesprochen.
-
Innovation Festival: Vorschau mit LR Bizzo am 28. Juni
Im vergangenen Jahr erlebte das Innovation Festival seine Premiere. Drei Tage lang stand die Bozner Innenstadt im Zeichen der Innovation. Auch heuer wird die Landes- wieder zur Innovationshauptstadt, und zwar vom 26. bis zum 28. September. Landesrat Roberto Bizzo wird am kommenden Freitag, 28. Juni, die Schwerpunkte des zweiten Innovation Festival vorstellen.
-
Landesberufsschule "Luigi Einaudi" präsentiert erstmals Sozialbilanz
LPA - Die Bildungsangebote der italienischen Landesberufsschule für Handel, Tourismus und Dienstleistungen "L. Einaudi" und deren Auswirkungen auf den Arbeitsmarkt wurden heute (20. Juni) von Landesrat Christian Tommasini und Schulamtsleiterin Nicoletta Minnei gemeinsam mit den Schulverantwortlichen der Öffentlichkeit vorgestellt.
-
24.Juni: Radweg zwischen Siebeneich und Sigmundskron gesperrt
LPA - Am kommenden Montag, 24. Juni, führt die Landesabteilung Wasserschutzbauten Instandhaltungsarbeiten an der Brücke über den Margarethenbach in Siebeneich durch. Daher muss der Radweg an diesem Tag gesperrt werden.
-
Tag der Artenvielfalt am 29. Juni auf den Armentara-Wiesen
LPA - Beim diesjährigen Geo-Tag der Artenvielfalt am Samstag, 29. Juni, untersuchen knapp 100 Forscherinnen und Forscher aus Süd- und Nordtirol die Flora und Fauna der Armentara-Wiesen bei Wengen im Gadertal. Ziel ist wie bei jedem Tag der Artenvielfalt, möglichst viele Tier- und Pflanzenarten nachzuweisen. Die ersten Ergebnisse werden am selben Tag um 18.30 Uhr vorgestellt. Auch zwei geführte Wanderungen werden angeboten, an denen alle Interessierte teilnehmen können.
-
Landesbeirat für Baukultur und Landschaft: "Hotel Post" in Toblach
LPA - Das "Hotel Post" in Toblach soll abgebrochen und neu errichtet werden. Vor kurzem begutachtete der Landesbeirat für Baukultur und Landschaft das Einreichprojekt des neuen Hotels. "Die Gemeindeverwalter schätzen die Möglichkeit, eine objektive und qualifizierte Beratung in Anspruch nehmen zu können", bestätigt Adriano Oggiano, Direktor des Landesamtes für Landschaftsschutz.


